Supreme Dental Centre

Restorative Dentistry

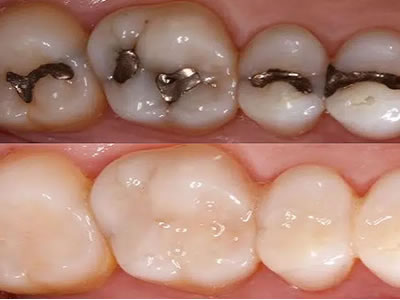
Fillings

To treat a cavity the dentist removes the decayed portion of the tooth and then “fill” the area where the decay was. Fillings are also used to repair cracked or broken teeth and teeth that have been worn down from misuse (such as from nail biting or tooth grinding).

Root Canals

It is the only way to save your teeth when the tooth pulp, which contains nerves and blood vessels, becomes infected or damaged because of deep decay or an injury. RCT is done in two or three visits depending on the condition of the tooth. 

Dentures

This could either be partial denture is suitable for those who have some natural teeth remaining while complete denture replaces all the teeth. This improves in chewing ability, speech and provides support for facial muscles.